近日,我院神经内科介入团队成功开展“经桡动脉穿刺行全脑血管造影术”。
56岁的刘先生(化名)因缺血性卒中(俗称“脑梗死”)入住我院神经内科,为完善相关血管评估,查找病因,医生建议进行脑血管造影术检查,而刘先生因各种考虑迟迟无法作出决定。在神经内科副主任方玲的耐心解释下,刘先生了解到脑血管造影是脑血管疾病诊断的金标准,且造影术可以经过手臂穿刺,像做CTA打针那样完成脑血管造影评估,刘先生这才欣然同意了此项检查。术中刘先生表示未感到任何不适,术后也可以随时下地活动。

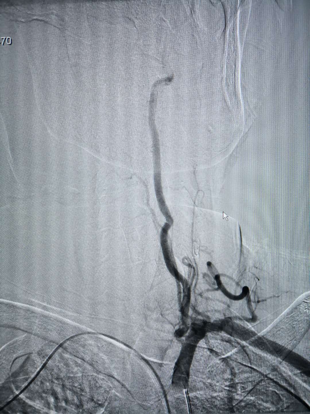
置入造影导管后相关血管造影图,所选择的血管清晰可见
目前我院已成功完成6例经桡动脉穿刺行全脑血管造影术。该项技术使用细针,采用Seldinger技术(经皮穿刺技术)经桡动脉穿刺成功后置入5F动脉鞘管,并利用特殊造影导管完成相关血管造影。该项技术不仅能减轻患者术中的痛苦和术后穿刺点血肿的发生,且术后患肢无需严格制动,也无需严格卧床,可避免患者长时间卧床后腰酸背痛及无法在床上小便的烦恼,深受到患者好评。

经动脉鞘管置入造影导管行造影术 经桡动脉穿刺置入动脉鞘管 术后:使用小巧的桡动脉压迫器压迫固定桡动脉
神经内科(供稿)