日前,心内科彭峰副主任医师及蔡瀚医师在我院率先应用“通过双侧肾上腺静脉采血鉴别继发性高血压”的介入技术,成功为两名疑似原发性醛固酮增多症合并肾上腺腺瘤的患者进行了功能定位与评估,最终确定诊断为无功能腺瘤,避免了手术误治。

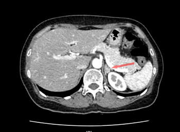
肾上腺CT增强提示左侧肾上腺腺瘤
张女士是一名55岁的高血压患者,血压最高时可达180-190/100-110mmHg,使用3-4种降压药血压勉强控制到140/90mmHg以下。我院心血管专家团队为其进行了醛固酮立卧位试验,提示卧位ARR(血浆醛固酮/血浆肾素)53.1,立位ARR58.20,肾上腺CT增强发现其左侧肾上腺长有腺瘤。在中国高血压联盟副主席、我院心血管内科主任林金秀教授的指导下,彭峰博士和蔡瀚医师借鉴北京阜外医院与上海瑞金医院的先进经验,通过“双侧肾上腺静脉采血”为张女士进行肾上腺腺瘤功能评估。3天后,血液检查结果提示,其左侧选择性指数2.45,证明采血成功(选择性指数>2),左侧肾上腺静脉血醛固酮与外周静脉血醛固酮的比值,较左侧肾上腺静脉血皮质醇与外周静脉血皮质醇的比值未见明显升高,说明张女士左侧肾上腺腺瘤为无功能腺瘤,无需手术治疗,药物控制血压即可。最后,专家团队悉心为张女士的用药进行了调整,在血压的到良好控制后,张女士顺利出院。
彭峰博士介绍,类似张女士的这种情况,以往大部分医师都会以醛固酮瘤会分泌激素,导致血压难以控制,建议患者将左侧肾上腺腺瘤切除。但目前针对醛固酮瘤切除术后的随访研究发现,即使切除了单侧肾上腺腺瘤,仍有部分患者血压无法控制,复查ARR仍高,这说明另一侧肾上腺仍然在分泌激素。对于这部分患者,其实是双侧肾上腺增生,只能药物治疗,手术对于患者来说,额外增加了经济和社会负担。而肾上腺静脉采血这项技术是目前唯一能区分这两类患者的介入诊断技术,是国际上公认的原发性醛固酮增多症分型诊断的“金标准”。原醛患者可以占到高血压患者的10%-15%左右,如何对原发性醛固酮增多症患者进行分型诊断,一直是重点和难点。肾上腺静脉采血技术的出现为这类患者带来了福音,对高血压精准医疗具有重要意义。


左侧肾上腺静脉插管采血 右侧肾上腺静脉插管采血