3月5日,我院胸痛中成功抢救一名高龄台胞患者。
惊蛰之日凌晨,伴随滚滚春雷,来自马尾区马江医院的120急救车奔驰在前往福建医科大学附属第一医院的路上。来自宝岛台湾的张老先生今年已91岁高龄,10小时前在家突然昏迷倒地,紧急送医后初步诊断为急性ST段抬高型心肌梗死,此为冠心病最危急、最严重的一种类型,因心脏血管完全闭塞,故必须在12小时内进行血运重建,才能挽救存活的心肌。据家属介绍,张老先生患有高血压,平时未规范服药,发病至今已逾10小时,病情危在旦夕。到达我院急诊科时,因床位已满,随车医务人员紧急联系邻近医院相关科室,亦无空床。望着家属焦急、无助的眼神,心内科值班医师彭峰博士和蔡瀚医师当机立断,决定绕行急诊科,将患者直接送至介入室行“急诊经皮冠状动脉介入治疗(PCI)”,数分钟后成功为张老先生开通了“犯罪”血管。术后第5天,在心内科全体医疗团队的精心诊治下,张老先生即康复出院。


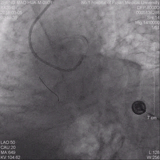
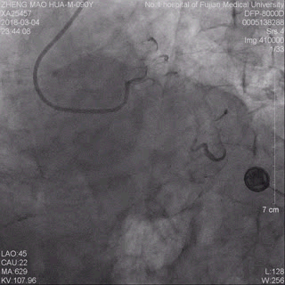
术前冠脉造影提示前降支近端急性闭塞 术后冠脉造影提示前降支血流通畅
彭峰博士介绍,此次抢救,从进入医院大门至球囊打通血管的时间(D-to-B)仅58分钟,远低于国际90分钟的标准。急性心肌梗死救治作为我院胸痛中心特色之一,以缩短心肌缺血总时间为目的,在建立区域协同救治体系、团队建设、流程优化、人员培训、健康宣教等诸多方面不断努力,曾创造出最短D to B时间15分钟的骄人成绩,实现了“时间就是生命,时间就是心肌”的急性心肌梗死救治理念。
胸痛中心旨在为急性心肌梗死、主动脉夹层及肺栓塞等以急性胸痛为主要临床表现的急危重症胸痛患者提供快速诊疗通道的全院性综合平台。作为福州市第一家通过国家胸痛中心认证、第一家成为中国胸痛中心示范基地的专业机构,胸痛中心的建设是衡量我院建设高水平医院的重要标志之一,也体现了综合性医院的急救医疗质量和医疗服务水平,对医院急救学科建设和提高社会影响力有着重要的意义。中心成立3年多来,在中国高血压联盟副主席、心内科科主任林金秀教授的指导下,由苏津自教授任行政总监,柴大军教授任技术总监,胸痛救治现状获得大幅改善,胸痛患者的住院时间明显缩短,临床疗效显著提高,致命性胸痛死亡率大幅下降。2018年,与我院胸痛中心签署合作共建关系的网络医院已从最初的5家扩增至11家,有力扩大了胸痛区域网络覆盖范围,使得基层医师获得更多的专业培训,区域内的病人也得到更高效、更规范的救治。