年味越来越重了,农历狗年即将到来,回家的脚步也愈加匆匆,朱老伯忙完农活,走在乡道上,憧憬着新年,憧憬着辛苦在外打拼一年的孩子们回家过年。此刻,心里格外高兴的朱老伯怎么也不会想到,“死神”已悄然逼近——随着一阵由远及近的轰鸣声,一辆货车疾驰而来,等司机看到朱老伯时刹车已经来不及了……颅脑外伤、肋骨骨折、血气胸、创伤性湿肺、呼吸衰竭、腹腔内大出血、失血性休克……救护车上,急诊医生一项一项个追加着诊断,严重的伤情一次又一次地刺痛着家属脆弱的神经。县区级医院没有条件收治如此危重、随时可能死亡的多发伤患者,只能马上转诊到省级医院。但年前各省级医院人满为患,没有床位怎么办?当地急诊医生通过医联体的平台,及时联系了我院的急诊科和重症医学科,并马上开通绿色通道,患者第一时间被送进手术室进行抢救。输血备血,肝胆胰外科紧急行肝破裂修补,膈疝胸外科行膈肌损伤修补,血气胸引流,肋骨骨折胸带外固定……经过多学科5个小时的共同努力,患者的血压、心率逐渐稳定下来,在呼吸机辅助下呼吸渐渐平稳。带着一身的插管,患者转到了重症医学科(ICU)继续抢救!手术成功了,家属紧锁的眉头慢慢舒展开来,但是好景不长,“重症肺炎、创伤性湿肺、呼吸衰竭、呼吸机辅助呼吸、弥漫性血管内凝血(DIC)、胰腺炎、重度低蛋白血症……”ICU医生团队的病情告知又让家属短暂的放松一扫而空,术后的难关接踵而至,考验的是医疗和护理团队的技术和能力,考验的是细致的病情观察和果断的处理,考验的是医护人员必胜的信念、果敢的决心和耐心!


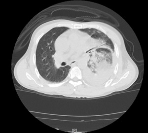
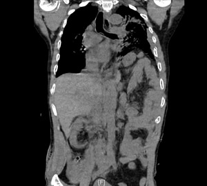
患者左下肺炎症、左侧胸腔积液、纵隔右移 患者部分肠管及胃疝到左侧胸腔
当ICU医疗组把朱老伯从镇静镇痛状态中唤醒已经是术后第十天了,老人家挺过了呼吸衰竭、DIC、重症感染、胰腺炎等一道道难关,拔了气管插管、停了呼吸机、拔了胸腔引流管和腹腔引流管、拔了深静脉管、拔了尿管,老人家一天天逐渐康复,但是还没有好到可以直接出院回家的程度,还需要调养及康复训练一段时间,然而ICU床位非常紧张,其他兄弟科室也是爆满,危重病人还在一个一个的从外院转来,怎么办?家人及患者接受ICU专家的建议,转到当地医院康复调理……狗年新年,一家人高高兴兴的在家里过了年,老人家获得了新生,感到格外高兴!节后,在家人的陪同下,老人家前来医院复查随访,各项指标近乎正常,肺部和肝脏等器官功能恢复良好。“医德高尚、仁心仁术,是附一医院给了我新的生命,是你们让我在短短三周的时间里渡过生命里最艰难的时刻并顺利康复,让我以更健康的身体和更良好的心态去迎接新的生活!”老人家及家人驱车百里,送来锦旗,激动的话语让在场的医护人员心里充满暖意、安慰。是啊,医患本是战友,需要共同直面病痛的挑战,才能取得更好的疗效。
作为一名医务工作者,我深刻体会到,在日常的工作中,认真做好本职工作,做最好的团队,并依托国家的新医改政策,重症疑难大病到省级大医院,利用省级医院优质的医疗资源,多学科协作打好攻坚战;优化全社会的医疗资源的配置,慢病康复走基层,让群众享受更便利的医疗和更高的医疗报销比例;切实做好分级诊疗和双向转诊,让医务工作者一起在国家医疗、医保、医药相关新政策的引导推动下,在临床工作中努力践行,相信会更好的服务于患者,真正体现“以病人为中心”的服务理念,改善医疗服务,为健康中国砥砺前行。

团队合影