前日,我院成功为艾滋病患者林先生(化名)施行了左侧全髋关节置换手术,患者于手术次日便顺利下地行走。
据林先生介绍,三年前,他被确诊为“人类免疫缺陷病毒病抗体阳性”,即俗称的“艾滋病”,并开始抗病毒药物的治疗。此后,他逐渐出现双侧髋关节疼痛,后被确诊为双侧股骨头坏死。病情迅速进展,已影响行走,遂就诊于多家医院,均被告知只能通过关节置换手术方能缓解病痛,但考虑到器械消毒、医院手术室条件等问题,手术无法正常进行。这对正处于病痛折磨的林先生来说,无疑是雪上加霜。
股骨头坏死不断侵蚀着林先生的双腿,已严重影响林先生的生活质量。半年前,他和家人通过网络搜索,获悉我院有为艾滋病患者手术的经验,且关节置换水平在省内有口皆碑,因此,林先生抱着一丝希望到我院关节外科求诊,并如实告知了病情。接诊医生看到深受病痛折磨的患者,当即决定伸出援手,并为其详细评估了病情,认为患者虽然病情特殊,但是手术指征明确,于是将情况及时上报院医务部和院感与疾控处,均表示了对手术的支持,并立即对关节外科医师进行围手术期注意事项及避免医源性传播的宣教,反复提醒主管医护人员对病人隐私的保护。在关节外科和手术室医护人员的共同努力下,患者病情较重的右侧髋关节于半年前顺利进行了关节置换,术后患者疼痛得到明显缓解。
近日,林先生再次就诊我院,对另一侧髋关节进行充分的检查。经双方充分沟通后,林先生迎来了他的第二次手术。林先生像普通患者一样顺利地办理了入院手续,护士长认真为其宣教,主管护士仔细地为林先生做好术前准备。
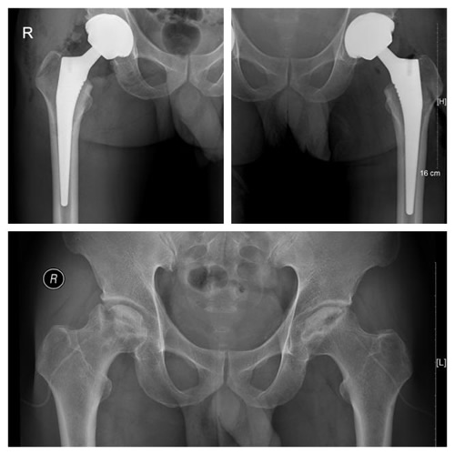
由于关节置换手术中需要进行截骨、磨锉、打入假体等一系列复杂操作,手术医师容易受到溅血污染,风险远较一般手术大。有了第一次手术的经验,参与手术的医护与麻醉人员在术前从容地准备了各种措施。术前使用氨甲环酸等止血药物辅以术中控制性降压来减少出血,术中使用一次性的防水铺巾、手术衣及防护面罩,对可能污染的位置着重进行严密防护。在手术护士与麻醉医生的精心配合下,手术历时1小时,术中出血不到100ml,张文明与李文波两位主任便完成了这台普通而不简单的手术。术后所有的器械均送至我院供应室做特殊消毒处理。第二天,林先生即下地行走,感觉疼痛得到明显缓解,摄片显示,髋关节假体的位置很理想,患者对手术效果非常满意。

关节置换手术中

术后患者髋关节假体的位置理想

患者对手术效果非常满意,为我院团队点赞
虽说此患者存在HIV病毒感染,且关节置换手术操作流程复杂,医务人员自身有一定职业暴露的风险,但我院医护同仁秉持着“严谨、创新、仁爱、奉献”的理念,本着医生“治病救人的大爱精神”,与患者进行了专业的沟通,提供专业技术的帮助,给予了患者提高生活质量的机会。